Мочекаменная болезнь кошекРефераты >> Ветеринария >> Мочекаменная болезнь кошек
Рис. 39. Сканированная электронная микрофотография струвитных кристаллов, описанных в рис.38 (увеличение Х 1,800).
Рис. 40. Микрофотография струвитных кристаллов в мочевом осадке 2-летнего кастрированного кота (не окрашено, увеличение Х 40).
Рис. 41. Сканированная электронная микрофотография струвитных кристаллов, описанных в рис.40 (увеличение Х 1,800).
ТИРОЗИНОВАЯ КРИСТАЛЛУРИЯ Тирозиновые кристаллы обнаруживаются как рефрактерные, бесцветные или желтые игольчатые кристаллы, расположенные группами (рис. 42). У людей они встречаются при тяжелых заболеваниях печени.
Рис. 42. Микрофотография игольчатых кристаллов в мочевом осадке собаки. Кристаллы в форме иголок могут состоять из тирозина, сульфата кальция, урата натрия, ампицилина или радиоконтрастных агентов (не окрашено, увеличение Х 160).
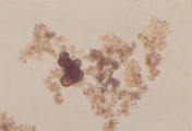
УРАТЫ АММОНИЯ И АМОРФНЫЕ УРАТНЫЕ КРИСТАЛЛЫ Особенности Кристаллы урата аммония (также наываемые биурата аммония) обычно обнаруживаются в слегка закисленной, нейтральной или щелочной моче. Они, как правило, желтого или желто-коричневого цвета, сферической формы с длинными иррегулярными выступами (так называемое колючее яблоко) (рис. 43-51). Соли уратов натрия, калия, магния могут преципитировать в виде аморфных образований в кислой моче (так называемые аморфные ураты). Они могут напоминать аморфные фосфаты (рис. 49), но способны растворяться в щелочной среде. При росте аморфных кристаллов (рис. 47-51) они приобретают желтую или желто-коричневую окраску. Ураты натрия могут преципитировать как бесцветные или желтоватые иголочки или как тонкие призмы в связке или пучках (рис. 52-56). Ураты аммония и аморфные кристаллы урата нерастворимы в кислой моче. Однако, добавление 10% уксусной кислоты в мочевой осадок, содержащий эти кристаллы, часто приводит к выделению мочевой кислоты и иногда кристаллов натрия урата. Добавление уксусной кислоты к аморфным кристаллам фосфата приводит к их быстрому растворению, в то время как они продолжают сохраняться в осадке щелочной мочи. Интерпретация Аммония ураты и аморфные ураты могут встречаться у, по-видимому, нормальных собак и кошек. Часто они обнаруживаются у собак с портальными сосудистыми аномалиями с или без сопутствующими аммоний уратными уролитами. Также они распространены среди далматинов, английских бульдогов и других собак и кошек по причинам, несвязанным с портальными сосудистыми аномалиями.
Рис. 43. Микрофотография кристаллов аммония урата (форма колючего яблока) в мочевом осадке 3-летнего кобеля английского бульдога с аммоний уратными камнями в мочевом пузыре (не окрашено, увеличение Х 250).
Рис. 44. Микрофотография кристалла аммония урата в виде колючего яблока в мочевом осадке 7-месячного йоркширского терьера с портальной сосудистой аномалией (не окрашено, увеличение Х 250).
Рис. 45. Сканированная электронная микрофотография кристалла, описанного в рис.44 (увеличение Х 2,880).
Рис. 46. Микрофотография кристаллов аммония урата в мочевом осадке годовалой самки Персидской кошки с портальной сосудистой аномалией (не окрашено, увеличение Х 128).
Рис. 47. Микрофотография рыжевато-коричневых аморфных кристаллов аммония урата и кристаллов магний аммоний фосфата в мочевом осадке 3-летнего кобеля английского бульдога с аммоний уратными камнями в мочевом пузыре (не окрашено, увеличение Х 128).
Рис. 48. Сканированная электронная микрофотография кристаллов, описаных в рис. 43, 47 (увеличение Х 8,640).
Рис. 49. Микрофотография аморфных кристаллов аммония урата в мочевом осадке 7-летнего аляскинского маламута с аммоний уратными камнями в мочевом пузыре (не окрашено, увеличение Х 128).
Рис. 50. Сканированная электронная микрофотография аморфных кристаллов аммония урата, смежных с кристаллами мочевой кислоты в закисленном мочевом осадке собаки, описанной в рис. 49 (увеличение Х 5,400).
Рис. 51. Микрофотография аморфных кристаллов аммония урата в мочевом осадке собаки, описанной в рис. 44 (не окрашено, увеличение Х 250).
Рис. 52. Микрофотография кристаллов натрия урата в мочевом осадке собаки, описанной в рис. 49 (не окрашено, увеличение Х 128).
Рис. 53. Микрофотография рыжевато-коричневых кристаллов натрия урата, кристаллов магний аммоний фосфата и кристаллов кальция оксалата дегидрата в мочевом осадке собаки (не окрашено, увеличение Х 51).
Рис. 54. Микрофотография кристаллов аммония урата в мочевом осадке собаки, описанной в рис. 43 (не окрашено, увеличение Х 40).
Рис. 55. Микрофотография кристалла в мочевом осадке собаки, описанной в рис. 43 и 54 после добавления 10% уксусной кислоты (не окрашено, увеличение Х 250).
Рис. 56. Сканированная электронная микрофотография кристаллов натрия урата в закисленном мочевом осадке собаки, описанной в рис. 43,54 и 55. Обратите внимание на маленький в форме алмаза кристалл (увеличение Х 2,340).
КРИСТАЛЛУРИЯ МОЧЕВОЙ КИСЛОТЫ Особенности Кристаллы мочевой кислоты часто встречаются желтого или желто-коричневого цвета различных форм. Наиболее характерная форма - алмаза или ромбической пластины с концентрическими кругами (рис. 57-61). Также они могут встречаться в виде розеток, состоящих из нескольких агрегированных кристаллов мочевой кислоты. Иногда они встречаются как ромбические пластины с одним или несколькими парными выступами по бокам (рис. 62-63). Гораздо реже они встречаются в форме шестигранных кристаллов, напоминая цистин. Однако, шестигранные кристаллы всегда встречаются вместе с типичными кристаллами алмазной или ромбовидной формы. Кристаллы мочевой кислоты растворимы в гидроксиде натрия, но нерастворимы в спирте, соляной кислоте и уксусной кислоте. Интерпретация Являясь довольно распространенной среди людей, кристаллурия мочевой кислоты нечасто встречается у собак и кошек. Кристаллы мочевой кислоты формируются после добавления 10% уксусной кислоты в мочевой осадок собак и кошек, содержащий аморфные кристаллы мочевой кислоты и аммония урата. Также могут формироваться кристаллы натрия урата. Необходима выдержка 20-30 мин. для уксусной кислоты чтобы кристаллы стали видимыми. Если оставить их на ночь с влажной губкой в чашке Петри, то они могут выпасти.
Рис. 57. Микрофотография кристаллов мочевой кислоты в мочевом осадке 4-летнего кастрированного самца енота (не окрашено, увеличение Х 25).
Рис. 58. Микрофотография кристаллов мочевой кислоты в мочевом осадке собаки, описанной в рис.44. Эти кристаллы были образованы путем добавления 10% уксусной кислоты к мочевому осадку, содержащему кристаллы аммония урата (не окрашено, увеличение Х 52).
Рис. 59. Микрофотография слоистого кристалла в мочевом осадке собаки, описанной в рис. 49. Его появление свидетельствует об активном росте кристалла (не окрашено, увеличение Х 128).
Рис. 60. Микрофотография кристаллов мочевой кислоты в закисленном мочевом осадке собаки, описанной в рис 43. (не окрашено, увеличение Х 128).
Рис. 61. Сканированная электронная микрофотография кристалла мочевой кислоты алмазной формы в закисленном мочевом осадке собаки, описанной в рис. 43 (увеличение Х 2,340).
Рис. 62. Микрофотография кристаллов мочевой кислоты в закисленном мочевом осадке 3-летнего самца далматина (не окрашено, увеличение Х 51).
Рис. 63. Сканированная электронная микрофотография различных форм кристаллов мочевой кислоты в закисленном мочевом осадке собаки, описанной в рис.49 (увеличение Х 792).
