Бешенство лошадиРефераты >> Ботаника и сельское хоз-во >> Бешенство лошади
В последние годы разработаны новые методы диагностики бешенства: радиоиммунный метод, иммуноферментный анализ (ИФА), твердофазный иммуноферментный анализ (ТФ-ИФА), идентификация вируса при помощи моноклональных антител, ПЦР.
При дифференциальной диагностике необходимо исключить болезнь Ауески, листериоз, ботулизм. У собак - нервную форму чумы, у лошадей - инфекционный энцефаломиелит, у крупного рогатого скота - злокачественную катаральную горячку. Подозрение на бешенство также может возникнуть при отравлениях, коликах, тяжелых формах кетоза и других незаразных болезнях, а также при наличии инородных тел в ротовой полости или глотке, закупорке пищевода.
паталогоанатомический вскрытие труп жеребец бешенство
Список использованной литературы
1. Боль Б.К. Патологоанатомическое вскрытие сельскохозяйственных животных. Государственное издательство сельскохозяйственной литературы.-Москва:1957.-335с.
2. Третьяков А.Д. Ветеринарное законодательство. Т1.-Москва, "Колос" -1973, 696с.
3. Селимов М.А. Бешенство. Москва.: Медицина, 1978, 336с.
4. Третьяков А.Д. Ветеринарное законодательство. Т2.-Москва, "Колос" -1973, 720с.
5. Третьяков А.Д. Ветеринарное законодательство. Т3.-Москва, "Колос" -1981, 640с.
6. Лукашев И.И. Частная эпизоотология. М.:Сельхозгиз-1961, 303с.
7. Коляков Я.Е. Ветеринарная микробиология. М.:издательство "Колос", 1965, 432с.
8. Сидорчук А.А. Инфекционные болезни животных. М.:КолосС, 2007. – 671 с.
9. Шишков В.П. Ветеринарная Энциклопедический словарь. – М.: "Советская Энциклопедия". 1981. -640с.
Приложение
Вирус бешенства под электронным микроскопом
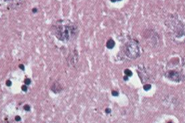
Тельца Бабеша-Негри
Положительная РИФ при бешенстве
