Болезни мелких животныхРефераты >> Ботаника и сельское хоз-во >> Болезни мелких животных
4. Профилактика инфекционных болезней молодняка / М.А. Сидоров – М.: Колос, 1983 – С. 60 – 68.
5. Справочник по вскрытию трупов и патоморфологической диагностике болезней животных / В.С. Прудников, Б.Л. Белкин и др. – Вит.: УО ВГАВМ, 2007.
ПРИЛОЖЕНИЕ № 1
Сопроводительное письмо
В ВИТЕБСКУЮ АКАДЕМИЮ ВЕТЕРЕНАРНОЙ МЕДЕЦИНЫ.
Зав кафедрой ПАТАЛОГИЧЕСКОЙ АНАТОМИИ
Профессору Прудникову В. С.
Свинокомплекс на 24000 голов РУСП имени П.М. Машерова. Сенненского района Витебской области направляет трупы поросят в возрасте 0-2 0-4 месяца для патологического вскрытия и установления причин заболевания и падежа.
На свинокомплексе периодически наблюдается, заболевание и падеж поросят в возрасте 0-2, 0-4 месяца с клиническими признаками: гастроэнтерит, воспаление легких .Поросята часто рождаются слаборазвитыми (массой 600-700 г.) иногда наблюдаются случаи абортов и мертворожденности.
Комплекс супоросных и подсосных свиноматок – комбикорм для откорма свиней согласно зоотехническим нормам. Водопой не ограничен
На свинокомплексе часто наблюдаются нарушение зоотехнических условий содержания свиноматок и поросят - повышенное содержание аммиака в помещениях, повышенная влажность.
При патологоанатомическом вскрытии трупов поросят иногда наблюдались – гипотрофия, острый катаральный или катарально-геморагический гастроэнтерит, катаральная иногда крупозная пневмония, серозно-фибринозный плеврит, перикардит, истощение и общая анемия.
При бактериологическом исследовании в райветлаборатории иногда выделяются возбудители колибактериоза, сальмонеллеза, пастереллеза и гемофилезной плевропневмонии.
Противоэпизоотические мероприятия проводятся регулярно и в соответствующие сроки согласно плану
Главветврач Ф.К. Денисюк
ПРИЛОЖЕНИЕ №2
![]() |
![]() |

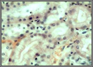
Рисунок 4 Зернистая дистрофия почки (окраска гематоксилин-эозином)
Рисунок 5
![]() |
ПРИЛОЖЕНИЕ 3
Сопроводительное письмо
В Витебскую государственную академию ветеринарной медицины.
На кафедру патологической анатомии и гистологии.
Адрес: 210602, г. Витебск, ул. Доватора, д. 7/11.
При этом направляется для гистологического исследования патологический материал: брыжеечные лимфатические узлы, а для вирусологического исследования: отрезки тонкой и подвздошной кишок с содержимым перевязанные лигарутой с двух сторон. Патологический материал доставили в стеклянном сосуде, помещенном в термос с сухим льдом. Патматериал получен от трупа поросенка, в возрасте 2 дней, принадлежащего свинокомплексу РУСП имени П.М. Машерова Сенненского района, Витебской области.
Поросенок заболел 2 марта 2009 года, пал 4 марта 2009 года.
Клинические симптомы: общее угнетение, рвота, диарея, феколии водянистой консистенции, желтоватого цвета, неприятного запаха, истощение, полное обезвоживание.
Патологоанатомические изменения:
Острый катаральный гастроэнтерит, серозное воспаление брыжеечных лимфоузлов, острая венозная гиперемия и отек легких, зернистая дистрофия печени, почек и сердца с признаками венозной гиперемии, зернистая дистрофия сердца с признаками асфиксии, эксикоз, истощение, общая анемия.
Предположительный диагноз – коронавирусный гастроэнтерит поросят.



