Все о клетке
Животная и растительная клетки. Сравнение.
Перед тем как начать сравнение надо еще раз упомянуть (хотя об этом уже не раз говорилось), что и растительные и животные клетки объединяются (вместе с грибами) в надцарство эукариот, а для клеток данного надцарства типично наличие мембранной оболочки, морфологически обособленного ядра и цитоплазмы (матрикс) содержащей различные органоиды и включения.
Итак, сравнение животной и растительной клеток:
Общие признаки: 1. Единство структурных систем — цитоплазмы и ядра. 2. Сходство процессов обмена веществ и энергии. 3. Единство принципа наследственного кода. 4. Универсальное мембранное строение. 5. Единство химического состава. 6. Сходство процесса деления клеток.
|
Растительная клетка |
Животная клетка | |
|
Размер (ширина) |
10 – 100 мкм |
10 – 30 мкм |
|
Форма |
Однообразная – кубическая или плазматическая. |
Форма разнообразная |
|
Клеточная стенка |
Характерно наличие толстой целлюлозной клеточной стенки, углеводный компонент клеточной оболочки сильно выражен и представлен целлюлозной клеточной оболочной. |
Имеют, как правило тонкую клеточную стенку, углеводный компонент относительно тонок (толщина 10 – 20 нм), представлен олигосахаридными группами гликопротеинов и гликолипидов и называется гликокаликсом. |
|
Клеточный центр |
У низших растений. |
Во всех клетках |
|
Центриоли |
нет |
есть |
|
Положение ядра |
Ядра у высокодифференцированных растительных клеток, как правило, оттеснены клеточным соком к периферии и лежат пристеночно. |
У животных клеток они чаще всего занимают центральное положение. |
|
Пластиды |
Характерны для клеток фотосинтезирующих организмов (растения фотосинтезирующие – организмы). В зависимости от окраски различают три основных типа: хлоропласты, хромопласты и лейкопласты. |
нет |
|
Вакуоли |
Крупные полости, заполненные клеточным соком — водным раствором различных веществ, являющихся запасными или конечными продуктами. Осмотические резервуары клетки |
Сократительные, пищеварительные, выделительные вакуоли. Обычно мелкие |
|
Включения |
Запасные питательные вещества в виде зерен крахмала, белка, капель масла; вакуоли с клеточным соком; кристаллы солей |
Запасные питательные вещества в виде зерен и капель (белки, жиры, углевод гликоген); конечные продукты обмена, кристаллы солей; пигменты |
|
Способ деления |
Цитокинез путем образования посередине клетки фрагмопласта. |
Деление путем образования перетяжки. |
|
Главный резервный питательный углевод |
Крахмал |
Гликоген |
|
Способ питания |
Автотрофный (фототрофный, хемотрофный) |
Гетеротрофный |
|
Способность к фотосинтезу |
есть |
нет |
|
Синтез АТФ |
В хлоропластах, митохондриях |
В митохондриях |
Рис.1
Эукариотическая клетка
Рис. 1. Схема строения эукариотической клетки: 1 — ядро; 2 — ядрышко; 3 — поры ядерной оболочки; 4 — митохондрия; 5 — эндоцитозное впячивание; 6 — лизосома; 7 — агранулярный эндоплазматический ретикулум; 8 — гранулярный эндоплазматический ретикулум с полисомами; 9 — рибосомы; 10 — комплекс Гольджи; 11 — плазматическая мембрана. Стрелки указывают направление потоков при эндо- и экзоцитозе.
Рис. 2
Схема строения плазматической мембраны:
Рис. 2. Схема строения плазматической мембраны: 1 — фосфолипиды; 2 — холестерин; 3 — интегральный белок; 4 — олигосахаридная боковая цепь.
Рис.3
Электронограмма клеточного центра (две центриоли в конце G1-периода клеточного цикла):
Рис. 5. Электронограмма клеточного центра (две центриоли в конце G1-периода клеточного цикла): 1 — центриоли в поперечном сечении; 2 — центриоли в продольном сечении.
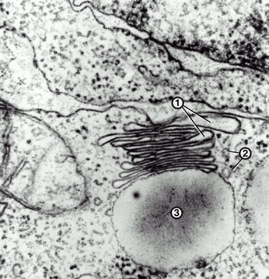
Рис. 4
Комплекс Гольджи:
Рис. 3. Комплекс Гольджи: 1 - цистерны; 2 - везикулы (пузырьки); 3 - крупная вакуоль.
Растительная и животная клетки.
(см. рис. 1 для более подробного ознакомления со структурой эукариотической клетки)
Рис. 5 Растительная клетка
|

|

|
