Особенности возникновения и протекания беременности
Процесс оплодотворения яйцеклетки
Сперматозоиды атакуют яйцеклетку. Зрелище фантастическое! Спермии синхронно бьют хвостами, заставляя яйцеклетку медленно вращаться против часовой стрелки. Внутрь попадет только один из них.
Зигота: ДНК сперматозоида уже внутри яйцеклетки. Скоро произойдет слияние отцовской и материнской половин генетической программы и начнется первое деление клетки. Так происходит оплодотворение.
Первые сутки после зачатия. У яйцеклетки уже две дочери.
Вторые сутки после зачатия. Деление продолжается.
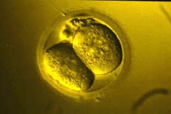
Вторые - начало третьих суток после зачатия. Бластомеров уже восемь. При искусственном оплодотворении (ребенок "из пробирки") в матку женщины подсаживают именно такой зародыш.
Это бластоциста. Похожа на тутовую ягоду?
«Дурное дело нехитрое» гласит народная мудрость, и применяют ее, зачастую, говоря о том, как легко можно «залететь». Но когда знакомишься с процессом оплодотворения во всех деталях, представляется чудом, что все эти биологические функции в большинстве случаев исполняются четко и желанная беременность наступает, а небольшой сбой в любой из частей механизма зачатия ведет к годам хождений по врачам и упорной борьбе за свое материнское счастье. Каковы же условия успешного зачатия?
Первое - для зачатия ребенка необходимо много здоровых, подвижных сперматозоидов
Подвижность сперматозоидов является одним из наиболее важных качественных показателей спермы и условий наступления беременности. Хорошая подвижность сперматозоидов может компенсировать малое их количество. Сперма, в которой 50% сперматозоидов имеют хорошую способность к передвижению, считается нормальной. Образец спермы, в котором менее 40 % сперматозоидов имеют хорошую способность к продвижению, считается патологическим. В норме движение сперматозоидов прямолинейное, в одном направлении. Если семенные нити имеют колебательные или круговые движения на одном месте (маятникообразные или манежные), то такие сперматозоиды рассматриваются как малоподвижные.
Второе условие наступления беременности - здоровая, зрелая яйцеклетка
Яйцеклетка в 550 раз больше сперматозоида и вообще является самой большой клеткой в организме. Она защищена внешней мембраной и структурами, которые называются метахондриями - они производят энергию. Внутри крошечного ядра яйцеклетки находятся 23 хромосомы, которые содержат генетический материал, хранящийся в ДНК. С возрастом яйцеклетки, как и все клетки в организме и ДНК, становятся менее стабильными, поэтому яйцеклетки у молодых женщин более здоровые. Количество яйцеклеток определено с рождения, в течение жизни их не становится больше, но лишь одна высвобождается для зачатия ежемесячно во время репродуктивного периода.
Известно, что королеву делает хорошей ее окружение. Так и качество созревающей в организме женщины яйцеклетки зависит от множества факторов: это и различные внешние воздействия (температура, биохимический состав среды, клеточное окружение), и точное функционирование внутриклеточных механизмов, которые работают на сложном пути созревания яйцеклетки. Изначально стволовая половая клетка (предшественник яйцеклетки) носит в себе двойной набор хромосом, что свойственно всем остальным клеткам организма, и только претерпевая два редукционных деления (в которых происходит уменьшение числа хромосом в два раза), она становится настоящей половой клеткой - ооцитом. В течение этого периода созревающая яйцеклетка дважды останавливается в своем развитии (I и II блоки созревания), и "разбудить" ее могут только следующие события: I блок снимается пиком ЛГ, предшествующим овуляции, а II блок - в процессе оплодотворения. Если на этом уровне клеточной организации происходят какие-либо нарушения, то процесс созревания ооцита может остановиться на стадиях I или II блоков. Помимо процессов созревания ядерного аппарата, в самой цитоплазме яйцеклетки также происходят структурные и биохимические преобразования: идет активный синтез и накопление необходимых для развития ооцита и будущего эмбриона веществ - белков, молекул-источников энергии, молекул РНК, а также распределение по цитоплазме клеточных органелл. Например, митохондрии - "энергетические станции" клетки - распределяются в цитоплазме определенным образом, вследствие этого митохондриальная активность во всех участках цитоплазмы различна. Было показано, что существует прямая связь между увеличением возраста женщины и уменьшением митохондриальной активности в цитоплазме ооцитов и клетках эмбрионов. Следствием этого является снижение вероятности наступления беременности. Итак, зрелая яйцеклетка содержит в себе необходимый для развития эмбриона набор веществ и в момент овуляции находится на стадии II блока созревания, который снимается при оплодотворении сперматозоидом. Морфологическими признаками зрелой яйцеклетки являются наличие первого полярного тельца (образуется после снятия I блока созревания) и отсутствие клеточного ядра (зародышевого пузырька). Косвенным признаком степени зрелости ооцита может быть состояние кумулюса (оболочки, состоящей из части клеток, которые окружали и питали яйцеклетку, когда она росла). По ходу созревания яйцеклетки кумулюс становится более рыхлым, вязким.
Третье - для оплодотворения необходимо удачное расположение спермы рядом с шейкой
Внутри влагалище переходит в шейку, узкое основание матки. Это волокнистое кольцо ткани длиной до четырех сантиметров с отверстием (цервикальный канал), которое позволяет семенной жидкости попадать в матку, а крови выходить из нее во время менструации. В шейке находятся железы, выделяющие различные виды слизи, в зависимости от вида гормонов, вырабатываемых женским организмом.
Когда происходит эякуляция спермы во влагалище, она сначала сгущается, а затем вновь разжижается примерно через двадцать минут. Только после этого сперматозоиды начинают свой долгий путь через шейку матки в фаллопиевы трубы или яйцеводы. Он занимает от тридцати минут до нескольких часов и даже в самом лучшем случае только около четырехсот сперматозоидов проникают через слизистую шейки и матку в трубу.
"Дружественная" слизистая шейки – четвертое условие наступления беременности
