Что знает наука о мозге
Такой переключатель внимания работает у каждого человека. Мы обнаружили зоны, которые активизируются на ПЭТ при работе этого механизма, а Ю.Д. Кропотов исследовал его с помощью метода имплантированных электродов. Иногда в самой сложной научной работе бывают смешные эпизоды. Так было, когда мы в спешке закончили эту работу перед очень важным и престижным симпозиумом. Ю.Д. Кропотов и я поехали на симпозиум делать доклады, и только там с удивлением и „чувством глубокого удовлетворения“ неожиданно выяснили, что активизация нейронов происходит в одних и тех же зонах. Да, иногда двоим сидящим рядом надо поехать в другую страну, чтобы поговорить.
|
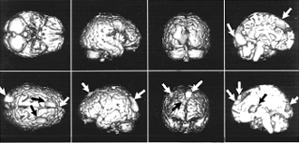
Интересные результаты даёт такой эксперимент. Испытуемому рассказывают одновременно две разные истории: в левое ухо одну, в правое — другую. На верхнем фото изображены разные проекции мозга — стрелками отмечены активизированные зоны, когда внимание сосредоточено на истории, рассказываемой в левое ухо. Внимание испытуемого „переключилось“ на „историю в правом ухе“ (нижнее фото). Можно заметить, что для фиксации внимания на „историю в правом ухе“ требуется гораздо меньшая активность мозга. Это связано с праворукостью большинства людей — обычно они берут телефонную трубку правой рукой и прикладывают её к правому уху. |
Если механизмы непроизвольного внимания нарушаются, то можно говорить о болезни. В лаборатории Кропотова изучают детей с так называемым дефицитом внимания и гиперактивностью. Это трудные дети, чаще мальчики, которые не могут сосредоточиться на уроке, их часто ругают дома и в школе, а на самом деле их нужно лечить, потому что у них нарушены некоторые определённые механизмы работы мозга. Ещё недавно это явление не рассматривалось как болезнь и лучшим методом борьбы с ним считались „силовые“ методы. Мы сейчас можем не только определить это заболевание, но и предложить методы лечения детей с дефицитом внимания.
Однако хочется огорчить некоторых молодых читателей. Далеко не каждая шалость связана с этим заболеванием, и тогда… „силовые“ методы оправданы.
Кроме непроизвольного внимания есть ещё и селективное. Это так называемое „внимание на приёме“, когда все вокруг говорят разом, а вы следите только за собеседником, не обращая внимания на неинтересную вам болтовню соседа справа. Во время эксперимента испытуемому рассказывают истории: в одно ухо — одну, в другое — другую. Мы следим за реакцией на историю то в правом ухе, то в левом и видим на экране, как радикально меняется активизация областей мозга. При этом активизация нервных клеток на историю в правом ухе значительно меньше — потому, что большинство людей берут телефонную трубку в правую руку и прикладывают её к правому уху. Им следить за историей в правом ухе проще, нужно меньше напрягаться, мозг возбуждается меньше.
Тайны мозга ещё ждут своего часа
Мы часто забываем очевидное: человек — это не только мозг, но ещё и тело. Нельзя понять работу мозга, не рассматривая всё богатство взаимодействия мозговых систем с различными системами организма. Иногда это очевидно — например, выброс в кровь адреналина заставляет мозг перейти на новый режим работы. В здоровом теле — здоровый дух — это именно о взаимодействии тела и мозга. Однако далеко не всё здесь понятно. Изучение этого взаимодействия ещё ждёт своих исследователей.
Сегодня можно сказать, что мы хорошо представляем, как работает одна нервная клетка. Многие белые пятна исчезли и на карте мозга, определены области, отвечающие за психические функции. Но между клеткой и областью мозга находится ещё один, очень важный уровень — совокупность нервных клеток, ансамбль нейронов. Здесь пока ещё много неясного. С помощью ПЭТ мы можем проследить, какие области мозга „включаются“ при выполнении тех или иных задач, а вот что происходит внутри этих областей, какие сигналы посылают друг другу нервные клетки, в какой последовательности, как они взаимодействуют между собой — об этом мы пока знаем мало. Хотя определённый прогресс есть и в этом направлении.
Раньше считали, что мозг поделен на чётко разграниченные участки, каждый из которых „отвечает“ за свою функцию: это зона сгибания мизинца, а это зона любви к родителям. Эти выводы основывались на простых наблюдениях: если данный участок повреждён, то и функция его нарушена. Со временем стало ясно, что всё более сложно: нейроны внутри разных зон взаимодействуют между собой весьма сложным путём и нельзя осуществлять везде чёткую „привязку“ функции к области мозга в том, что касается обеспечения высших функций. Можно только сказать, что эта область имеет отношение к речи, к памяти, к эмоциям. А сказать, что этот нейронный ансамбль мозга (не кусочек, а широко раскинутая сеть) и только он отвечает за восприятие букв, а этот — слов и предложений, пока нельзя. Это задача будущего.
Работа мозга по обеспечению высших видов психической деятельности похожа на вспышку салюта: мы видим сначала множество огней, а потом они начинают гаснуть и снова загораться, перемигиваясь между собою, какие-то кусочки остаются тёмными, другие вспыхивают. Также и сигнал возбуждения посылается в определённую область мозга, но деятельность нервных клеток внутри неё подчиняется своим особым ритмам, своей иерархии. В связи с этими особенностями разрушение одних нервных клеток может оказаться невосполнимой потерей для мозга, а другие вполне могут заменить соседние „переучившиеся“ нейроны. Каждый нейрон может рассматриваться только внутри всего скопления нервных клеток. По-моему, сейчас основная задача — расшифровка нервного кода, то есть понимание того, как конкретно обеспечиваются высшие функции мозга. Скорее всего, это можно будет сделать через исследование взаимодействия элементов мозга, через понимание того, как отдельные нейроны объединяются в структуру, а структура — в систему и в целостный мозг. Это главная задача следующего века. Хотя кое-что ещё осталось и на долю двадцатого.
Словарик
Афазия — расстройство речи в результате повреждения речевых зон мозга или нервных путей, ведущих к ним.
Магнитоэнцефалография — регистрация магнитного поля, возбуждаемого электрическими источниками в мозге.
Магниторезонансная томография — томографическое исследование мозга, основанное на явлении ядерного магнитного резонанса.
Позитрон-эмиссионная томография — высокоэффективный способ слежения за чрезвычайно малыми концентрациями ультракороткоживущих радионуклидов, которыми помечены физиологически значимые соединения в мозге. Используется для изучения обмена веществ, участвующих в реализации функций мозга.
