Акушерство (УЗИ в акушерстве)
Методика УЗИ в акушерстве.
Методика УЗИ в области малого таза довольно проста и легко выполнима. До начала исследования женщины врач должен подробно ознакомится с анамнезом и результатами акушерско-гинекологических данных. Специальной подготовки для УЗИ не требуется, но обязательно необходимо хорошее наполнение мочевого пузыря. В связи с этим пациентке рекомендуется воздержаться от мочеиспускания за 3 - 4 ч. до исследования или же за 1,5 - 2 ч. выпить 3 - 4 стакана воды. При необходимости назначают диуретики или наполняют мочевой пузырь через катетер. Наполненный мочевой пузырь облегчает исследование матки, так как приподнимает ее и выводит в центральное положение, оттесняет петли кишечника, а так же является хорошей акустической средой для исследования органов малого таза.
УЗИ проводят в горизонтальном положении больной на спине. На кожу передней поверхности живота наносят любое контрастное вещество. Сканирование полипозиционное, но производится обязательно в двух плоскостях (продольной и поперечной) в зависимости от положения датчика. Начинают исследование с продольного сканирования (положение датчика в сагиттальной плоскости) вертикально над лоном. Затем датчик перемещают в различных плоскостях до горизонтального положения над лонным сочленением (поперечное сканирование).
На продольных сканограммах отчетливо выявляются овальной формы эхонегативная тень мочевого пузыря с гладкими контурами. Непосредственно за ним к низу отображается эхопозитивная структура матки грушевидной формы и влагалища, ограниченного двумя продольными линиями, отходящими под углом от матки. Яичники в этой плоскости выявить трудно. На поперечных сканограммах матка имеет форму овала, по бокам от которого выявляются эхопозитивные структуры округлых яичников.
УЗИ при беременности
УЗИ в акушерстве оказалось наиболее достоверной и информативной методикой среди других клинических методов в оценке некоторых аспектов течения нормальной беременности и особенно при ее патологии.
Ультразвуковое исследование беременных проводится по строгим клиническим показаниям. При УЗИ беременных необходимо оценить: наличие в матке или вне ее плодного яйца; определить их размеры и количество; срок беременности; наличие признаков угрожающего выкидыша (его стадия); наличие неразвивающейся беременности; пузырного заноса; положение, вид и прилежание плода; состояние пуповины; наличие признаков внутриутробной смерти плода; уродства (аномалии) плода; состояние плаценты (нормальная, предлежание, отслоение); пол плода; сочетание беременности с опухолями матки.
При беременности путем повторных УЗИ в разные сроки можно проследить физиологическое развитие плода. При эхографии можно высказаться о наличии беременности, начиная с 2,5 – 3 недель.
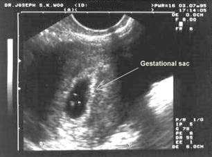
В ранние сроки беременности на эхограммах четко отображается матка (рис 1), содержащая овальной формы плодное яйцо с достаточно утолщенной стенкой, внутренний диаметр которого 0,5 см, а наружный до 1,5 – 1,6 см (3-4 недели), включая яркую полосу ворсинчатого хориона. К 6 неделям плодное яйцо занимает ½ плоско-
(рис. 1) Плод в 4 недели, вагинальное исследование. сти матки, в нем видны контуры
анатомических структур плода. Сердечная деятельность плода, критерий правильного развития беременности, выявляется с 5 –6 недели, а двигательная активность с 6 –7 недели.
При дальнейшем развитии нормальной беременности изображение плода становится более четким, к 10 – 11 неделям можно визуализировать анатомические структуры: череп, туловище (рис. 2). II и III триместр имеют особое значение, так как в этот период происходит формирование и рост плода, плаценты, накопление околоплодных вод. Для оценки нормального развития беременно-
(рис. 2) Плод в 11 недель. сти и срока начиная с 6 недели можно производить измерения размеров плодного яйца, а в дальнейшем плода и его анатомических органов. Наиболее ценную информацию о правильном развитии плода и сроках беременности дают измерения расстояния от кресца до головки (КТР – кресцово - теменной размер), а также в более поздних сроках беременности измерения бипариетального размера головки (БПР), среднего размера бедренной кости, среднего размера грудной клетки на уровне сердца плода, размеры брюшной полости на уровне пупочной вены. Имеются специально разработанные таблицы о зависимости размеров плода и его анатомических элементов от срока беременности.
Внематочная беременность. При эхографии – матка увеличена, эндометрий утолщен, а плодное яйцо определяется вне полости матки. Уточнить данное состояние можно при повторном исследовании через 4 –5 дней, а также по наличию сердцебиения и движения плода вне матки. В дифференциальной диагностике надо иметь в виду возможность аномалий развития матки.
Пузырный занос – серьезное осложнение беременности. На эхограммах отмечается увеличенная в размерах матка с наличием или без плодного яйца. В полости матки просматривается характерная для пузырного заноса эхоструктура мелкокистозного характера, напоминающая “губку”. При динамическом исследовании отмечается ее быстрый рост.
Многоплодная беременность при УЗИ может быть диагносцирована в различных сроках беременности. На эхограммах в полости матки определяется несколько плодных яиц, а в более поздних сроках изображение нескольких плодов. Многоплодная беременность нередко сочетается с различными уродствами плодов.
Уродства плода – нередкая патология беременности. Разработаны классификации различных пороков развития органов и систем плода. УЗИ позволяет достаточно уверенно диагносцировать такие аномалии развития, как гидроцефалия, анэнцефалия, при которой отсутствует эхографическое отображение нормальной формы головки. Среди других пороков развития плода можно обнаружить нарушение положения сердца, грыжи брюшной полости, асцит, нарушения остеогенеза, поликистоз и гидронефроз почек и д.р.
Важную роль имеет УЗИ плаценты. При эхографии можно оценить зрелость, величину, расположение плаценты, следить за ее развитием в процессе беременности. Эхографическое изображение плаценты представляется как утолщенный участок матки повышенной акустической плотности с довольно четкой эхопозитивной границей на уровне амниотической жидкости. Иногда плаценту трудно отличить от миометрия, особенно если она лежит на задней стенки матки. Определение точной локализации плаценты, особенно по отношению к ее внутреннему зеву матки, позволяет выявить такое грозное осложнение, как предлежание плаценты. При этом плацента находится в области дна матки. Эхографически также можно выявить преждевременное отслоение плаценты и другие ее патологические состояния. Важно также указать, что по клиническим показаниям УЗИ может быть применено в период родов и в послеродовом периоде в целях контроля за сократительной деятельностью матки, а также при обследовании новорожденных.
