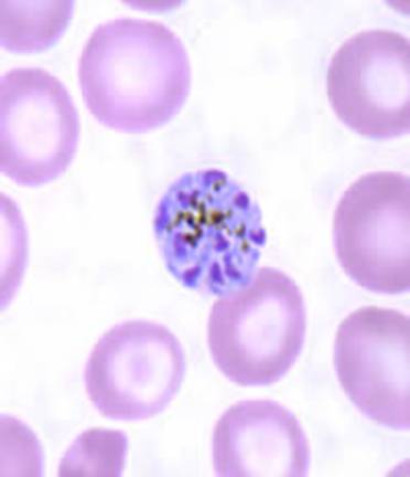
Малярийный плазмодий
Жизненные циклы растений и животных.
Жизненный цикл – это совокупность всех фаз развития, через которые проходят особи вида от зиготы одного поколения до зиготы следующего.
Длительность жизненного цикла определяется числом поколений (генераций), развивающихся в течение года или числом лет на протяжении которого осуществляется один жизненный цикл.
Жизненный цикл животных.
У животных жизненные циклы бывают:
1). Простые – чаще всего у животных с прямым типом развития. Из яйца сразу развивается молодая особь.
Примеры: многие позвоночные животные, пауки, малощитинковые черви и т.д.
2). Сложные – чаще всего у животных с непрямым типом развития, а также с развитием с полныи и неполным превращением или с чередованием поколений.
Примеры: простейшие, сцифоидные медузы, паразитические черви, некоторые моллюски, насекомые, клещи, земноводные.
Для организмов с половым типом размножения в жизненном цикле происходит чередование диплоидной и гаплоидной фаз.
![]()
Взрослый организм (2n)
Диплофаза
Зигота (2n)
Мейоз (R!)
Гаплофаза
Гаметы (n)
Для многих организмоы в ходе жизненного цикла характерно чередование поколений – закономерная смена поколений с различными способами размножения. В ходе жизненного цикла – сочетание разных форм размножения: полового и одного или нескольких способов бесполого размножения.
У животных может быть первичное и вторичное чередование поколений.
1. Первичное – это чередование поколений особей, размножающихся бесполым путём, который сменяется поколениями особей, размножающихся половым путём (простейшие).
2. Вторичное – в двух формах:
а). Гетерогония - это чередование полового размножения с партеногенезом.
б). Метагенез – это чередование полового и бесполого поколений у многоклеточных животных.
Таким образом при развитии со сменой поколений жизненный цикл прослеживается на нескольких особях, принадлежащих разным поколениям до появления исходной формы. При развитии с метаморфозом жизненный цикл прослеживается в течение жизни одной особи (майские жуки, лягушка).
Малярийный плазмодий
(Plasmodiummalariae)
Систематическое положение объекта.
Царство Животные
П/царство Одноклеточные (Простейшие)
Н/тип Беспозвоночные (Invertebrata)
Тип Споровики (Sporozoa)
Отряд Кокцидии (Coccidia)
Подотряд Кровяные споровики
Род Плазмодий (Plasmodium)
Вид Малярийный плазмодий
(Plasmodium malariae)
Характерные признаки Простейших:
1. Простейшие – это одноклеточные животные; организм простейшего функционирует как самостоятельный организм.
2. Большинство имеет микроскопические размеры тела.
3. В цитоплазме имеются органеллы – специализированные участки, выполняющие определённые функции (пищеварительная вакуоль, сократительная вакуоль, стигма).
4. По типу питания Простейшие – миксотрофы (большинство – гетеротрофы).
5. Размножение бесполым путём, делением надвое; у инфузорий имеется половой процесс – конъюгация.
6. Выделение с помощью сократительных вакуолей.
7. Дыхание диффузное, через всю поверхность клетки.
8. Раздражимость проявляется в форме таксиса.
9. При неблагоприятных условиях способны к инцестированию.
10. Формы существования:
- свободноживущие;
- паразитические.
Характерные признаки Кокцидий:
- Кокцидии - класс одноклеточных животных типа простейших. Преимущественно внутриклеточные паразиты. Вызывают малярию и др. заболевания.
- Паразитируют в кишечнике, тканях и органах животных и человека, вызывая тяжелые заболевания кишечника, печени, почек и др.
- У некоторых Кокцидий выработалось не только чередование различных форм размножения, но и смена хозяев, относящихся к разным видам и группа животного мира.
Жизненный цикл малярийного плазмодия.
1. При укусе в кровь человека попадают спорозоиты (бесполое поколение).
2. С током крови они попадают в печень, где делятся путём шизогонии. Шизогония – это способ бесполого размножения, при котором ядро делится на множество частей, вокруг каждой возникает цитоплазма и клетка делится на много частей.
3. После нескольких делений в печени спорозоиты выходят в кровь и проникают в эритроциты.
4. В эритроцитах плазмодии также делятся шизогонией. В момент разрыва эритроцита в кровь выделяются токсины – ядовитые продукты жизнедеятельности плазмодия, которые вызывают лихорадку.
5. Через несколько таких делений плазмодии превращаются в клетки – предшественники гамет – гаметоциты.
6. При укусе гаметоциты попадают в организм комара, выходят из эритроцитов и превращаются в гаметы.
7. Гаметы попадают в кишечник комара и сливаются, образуя оплодотворённую яйцеклетку – зиготу.
8. Зигота попадает в гемолимфу комара, где делится => образуются спорозоиты.
9. Спорозоиты попадают в слюнные железы комара.
10. Цикл повторяется.
Жизненный цикл малярийного плазмодия
Вывод:
Данный жизненный цикл является сложным (развитие с чередованием фаз жизненного цикла), в нём присутствует первичное чередование поколений, т.е. чередование поколений особей, размножающихся бесполым путём и поколений, размножающихся половым путём.
![]()
Бесполое размножение
Благоприятная среда
Неблагоприятная среда
Половое размножение
Способ размножения – спорообразование. Половое размножение – гаметный (конечный) мейоз, т.е. происходящий в половых органах и ведущий к образованию гамет.
