Методология диагностики торакальных больных
Обследование больных заболеваниями легких и плевры в хирургической клинике решает две основные задачи: 1) диагностика основного заболевания и оценка связанных с ним сопутствующих патологических изменений; 2) выяснение состояния основных систем жизнеобеспечения, необходимое для оценки резервных возможностей организма больного и степени его функциональной операбельности.
Все методы диагностики в торакальной хирургии можно разделить на инвазивные и неинвазивные, основные и дополнительные.
ОСНОВНЫЕ МЕТОДЫ
Расспрос больного, изучение его жалоб, особенностей возникновения и развития заболевания, сведений о перенесенных болезнях, образе жизни и работе, вредных привычках являются отправным пунктом для построения плана дальнейшего специального, более углубленного и направленного обследования, определения последовательности применения как простых (физикальных), так и более сложных (инструментальных) методов диагностики.
Наиболее доступные методы исследования — осмотр, пальпация, перкуссия, аускультация — нередко позволяют отметить совокупность признаков или отдельные симптомы, с большой достоверностью характеризующие развитие изменений, которые в сочетании с данными анамнеза дают возможность правильно решить вопрос не только о диагнозе, но зачастую — и лечебной тактике. Полученные сведения позволяют не делать более сложные, часто сопряженные с определенным риском инструментальные исследования.
Нарастающая одышка, расстройства сердечной деятельности, появление подкожной эмфиземы, развившиеся в течение короткого времени вслед за болевыми ощущениями в груди, сочетающиеся с отсутствием или резким ослаблением дыхательных шумов над одним легким, коробочный звук при перкуссии в этой области груди дают возможность распознать спонтанный напряженный пневмоторакс.
Среди основных специальных методов обследования больных заболеваниями легких ведущее место принадлежит рентгенологическому исследованию.
РЕНТГЕНОЛОГИЧЕСКОЕ • ИССЛЕДОВАНИЕ
Обязательным условием рентгенологического исследования больных заболеваниями легких следует считать рентгеноскопию.
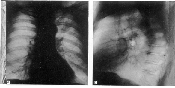
Рис. 3. Рак верхней доли левого легкого.
а — прямая рентгенограмма: б — боковая рентгенограмма.
В первую очередь рентгенологическая диагностика включает ориентировочный осмотр легочных полей, при этом определяются сторона и объем поражения. Обращается внимание на подвижность купола диафрагмы, состояние реберно-диафрагмальных синусов, прозрачность легочных полей, структурность корней легких, размеры и конфигурацию срединной тени, формируемой органами средостения.
Рис. 2. Электрорентгенограмма грудной клетки. Норма.
Последующее рентгенографическое обследование должно углублять и расширять представления о характере изменений в легких и грудной полости. Эти исследования проводят в прямой (переднезадней) и боковой проекциях, дополняя их при необходимости снимками в косых проекциях и прицельными рентгенограммами (рис. 1). Важным достоинством рентгенографии являются объективность и достоверность полученных результатов, возможность сопоставления с данными ранее проведенных рентгенографических обследований, т. е. возможность динамического наблюдения. Последнее нередко является одним из важнейших факторов для установления правильного диагноза.
Рентгенографическое обследование в двух проекциях позволяет с наибольшей точностью определить локализацию и распространенность поражения легких, изменения в средостении, состояние междолевых щелей, оценка и сопоставление степени прозрачности участков легкого в различных его отделах, мельчайшие очаговые тени, что особенно ценно при проведении дифференциального диагноза между туберкулезом легких, саркоидозом, пневмокониозом и другими заболеваниями, дающими исходные рентгенологические изменения.
Для улучшения визуализации трахеобронхиального дерева и уплотненных лимфатических узлов средостения используются так называемые переэкспонированные снимки грудной полости. На них особенно четко определяются элементы корня легкого на фоне как бы выведенного на «второй план» легочного рисунка.
Для получения первой, наиболее общей, информации о характере рентгенологических изменений в легких и грудной полости (наряду с флюорографией) в некоторых клиниках стала использоваться электрорентгенография. Важнейшим достоинством метода электрорентгенографии являются его высокая экономическая эффективность, исключение расходов на оснащение специальных фотолабораторий и реактивов, необходимых для рентгенографии. Процесс электрорентгенографии не зависит от водоснабжения, получение крупноформатных снимков происходит на свету. Изображение воспроизводится на селеновой пластине и затем переносится на бумагу (рис. 2).
Электрорентгенография имеет неоспоримые преимущества при проведении неотложной рентгенологической диагностики.
Томографическое (послойное) исследование. Томографическое исследование органов грудной полости также выполняется в прямой и боковой проекциях. Количество томограмм, выполняемых при различных патологических изменениях в органах грудной полости, зависит от поставленных задач и определяется для каждого больного индивидуально. При необходимости томограммы, сделанные в прямых проекциях, могут быть дополнены томограммами в косых проекциях. Оптимальными срезами считаются срезы в промежутке от 8 до 12 см, отступя от остистых отростков позвонков.Выполнение томографического исследования позволяет уточнить данные, полученные при обзорной рентгенографии: определяются точная локализация и характер патологического процесса в легком, его распространенность, отношение к сосудам и бронхам легкого, плевре и органам средостения. С помощью томографии удается оценить проходимость трахеи и бронхов, выявить в просвете дыхательных путей новообразования, инородное тело. Томография служит важным вспомогательным приемом для изучения характера изменений в лимфатических узлах средостения, в костных образованиях, формирующих каркас грудной полости.
Возможности рентгенологической диагностики заметно расширились за счет становления и клинического использования компьютерной рентгенотомографии. По сравнению с обычной рентгенографией компьютерная рентгенография имеет в десятки раз большую разрешающую способность и позволяет различать ткани с разностью по плотности до 0,5 %. Это дает возможность четко определять границу между нормальной и патологически измененной легочной тканью. На компьютерных томограммах органов грудной полости удается не только локализовать патологический очаг, но и определить его размеры, оценить плотность и однородность, соотношение с соседними анатомическими образованиями и органами.
Рис. 3. Компьютерная томография органов грудной клетки. Норма.
Компьютерная томография дает возможность получить наиболее полную рентгенологическую информацию об опухолях и кистах средостения, сосудистых изменениях в легких, аневризмах, о состоянии трахеобронхиального дерева, характере и структуре «шаровидных образований в легких», патологических изменениях в плевре, грудной стенке, особенно при ее злокачественных поражениях (рис. 3).
