Методология диагностики торакальных больных
На рентгенограммах, выполненных после наложения пневмоторакса, удается установить, отошло ли образование вместе с легким, или же осталось связанным с грудной стенкой, диафрагмой, средостением.
Наиболее удобным местом для пункции плевральной полости с целью наложения диагностического пневмоторакса являются второе межреберье по среднеключичной линии (в положении больного сидя) или третье — пятое межреберья по средней подмышечной линии (в положении больного лежа на здоровом боку).
В намеченной точке на всю глубину грудной стенки выполняется послойная местная анестезия. На то, что игла находится в плевральной полости, указывают свободное поступление анестезирующего раствора из шприца, самопроизвольные перемещения его поршня в ритме дыхания больного; на подключенном пневмотораксном аппарате регистрируются перепады давления на манометре.
Убедившись в том, что игла находится в плевральной полости, с помощью пневмотораксного аппарата в нее дозированно вводится 750 — 1000 мл воздуха или кислорода. При этом на манометре регистрируется «положительное — положительное» давление. Игла извлекается. Больному придается положение, необходимое для оттеснения легкого газом от той или иной части стенки грудной полости. Затем выполняется рентгенологическое исследование. После завершения исследования газ из плевральной полости удаляется.
ДИАГНОСТИЧЕСКИЙ ПНЕВМОПЕРИТОНЕУМ
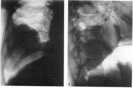
Показанием к введению воздуха или кислорода в брюшную полость с последующим рентгенологическим обследованием являются образования, прилежащие к нижним долям легких и куполу диафрагмы, когда не удается ответить на вопрос: располагаются ли они в легком, исходят из диафрагмы или находятся в поддиафрагмальном пространстве, например в печени (рис. 4).
![]() |
Рис. 4. Доброкачественная опухоль правого легкого в условиях искусственного пневмоперитонеума.
а — прямая рентгенограмма; б — боковая рентгенограмма.
ДИАГНОСТИЧЕСКИЙ ПНЕВМОМЕДИАСТИНУМ
Пневмомедиастинография применяется для уточнения расположения образований, которые на рентгенограммах и томограммах прилежат к органам средостения, сливаясь с ними. Кроме того, этот метод может быть использован для более четкого выявления различных новообразований средостения, уточнения их взаимоотношения с расположенными здесь органами. Оттесняя медиастинальную плевру со стороны средостения, удается уточнить расположение новообразований по отношению к легкому в случаях, когда сращения в плевральной полости не позволяют наложить пневмоторакс.
Для наложения переднего пневмомедиастинума больного укладывают на спину с небольшим валиком под лопатками и отведенной кзади головой. В области яремной вырезки грудины делают местную анестезию кожи и подкожной клетчатки. За грудину вводят тонкую иглу, предпосылая раствор анестетика. Убедившись, что конец иглы находится в клетчатке средостения, а не в сосуде, к павильону ее присоединяют пневмотораксный аппарат и медленно, дозированно в течение 7—10 мин, вводят 500—750 мл воздуха или кислорода. Больному придается положение на спине с приподнятым ножным концом, а затем — на здоровом боку, что необходимо для более направленного распределения газа в пределах клетчаточных пространств. После этого выполняется рентгенологическое обследование.
При наложении заднего пневмомедиастинума используют пресакральный доступ, откуда газ по клетчатке забрюшинного пространства достигает задних отделов средостения.
Для этого в положении больного на животе ниже верхушки копчика выполняют местную послойную анестезию. Длинную тонкую иглу, предпосылая раствор анестетика, проводят под копчик и далее выше в направлении к передней поверхности крестца. Убедившись в том, что конец иглы располагается в пресакральной клетчатке, а не в прямой кишке, с помощью пневмотораксного аппарата поэтапно вводят до 1500— 2000 мл воздуха (не кислорода!). После завершения этого этапа исследования больной в течение часа находится в вертикальном или полусидячем положении. Периодически рентгенологическим методом уточняется перемещение газа в восходящем направлении к заднему средостению. После достижения им клетчаточных пространств заднего средостения выполняется рентгенологическое обследование.
бронхография
Основными показаниями к применению этого метода в настоящее время являются: подозрение на аномалию трахеи и бронхов, бронхоэктазии, другие хронические нагноительные заболевания легких, туберкулез, некоторые формы пневмосклерозов.
Для успешного выполнения бронхографии требуется специальная предварительная подготовка больных, особенно отделяющих значительное количество мокроты, так как в этом случае получить хорошее заполнение бронхов не представляется возможным.
Для освобождения трахеобронхиального дерева от патологического содержимого применяются как медикаментозные средства (отхаркивающие, мокроторазжижающие, спазмолитические), так и специальные методы — паровые ингаляции, ингаляции с муколитиками, ферментами, эндотрахеальные вливания, лечебные бронхоскопии. Только убедившись в полноценности и эффективности предпринятой подготовки, приступают к исследованию. В качестве контрастного вещества наиболее удобной является смесь сульфата бария и порошка из корня алтея. Перед введением смесь подогревается до 36—37 °С. В большинстве случаев исследование проводится под местным обезболиванием. Для этой цели используют препараты дикаина, растворы новокаина, тримекаина.
Для введения контрастной смеси применяют стандартные управляемые катетеры Розенштрауха — Смулевича.
После анестезии верхних дыхательных путей проводится обезболивание бронхиального дерева исследуемой стороны в различных положениях больного: на спине, на животе, на боку с опущенным головным концом. В дальнейшем, в зависимости от поставленных задач, проводят исследование бронхиального дерева всего легкого, его доли или сегмента. Заполнение бронхов производится под контролем рентгенотелевизионного экрана. Рентгенограммы выполняются в прямой, боковой и косых проекциях в положении больного стоя или лежа на латероскопе.

