Цитогенетическая и молекулярно-цитогенетическая характеристика микроделяционных синдромов Прадера-Вилли, Ангельмана и Ди Джорджи
Рефераты >> Биология >> Цитогенетическая и молекулярно-цитогенетическая характеристика микроделяционных синдромов Прадера-Вилли, Ангельмана и Ди Джорджи

Рис. 8. Делеция 22q11.2 – синдром Ди Джорджи

Описание: Brain_computer_tomography_cuts_of_the_patient_with_22q11

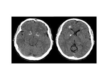
Рис. 9 Компьютерная томограмма мозга пациента с делецией

Описание: 447

Рис. 10. Синдром Ди Джорджи

Рис. 11. Девочка с синдромом Ди Джорджи

Рис. 12 Мальчик с синдромом Ди Джорджи


Страница: